What Are Wisdom Teeth Extractions?
About Emergency Dentistry Services
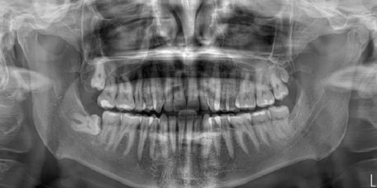
Wisdom teeth extraction is a common procedure performed to prevent or address issues caused by impacted or misaligned third molars. At the South Florida Institute of Oral Surgery (SFIOS), our board-certified oral surgeons are experts in safely and efficiently removing wisdom teeth, whether they are fully erupted, partially impacted, or completely embedded in the jawbone. Using advanced imaging technology, such as Cone Beam 3D Imaging, we ensure precise diagnosis and treatment planning to minimize discomfort and promote faster recovery. Our team is committed to providing a stress-free experience, from your initial consultation to post-operative care, ensuring your comfort and long-term oral health.
At South Florida Institute of Oral Surgery, we specialize in wisdom teeth extractions in Pompano Beach & Coral Springs. Our experienced oral surgeons ensure a personalized treatment plan for every patient. We prioritize patient comfort and use the latest technology for precise, safe procedures. Schedule your consultation today and experience gentle care.


Meet Our Skilled Oral Surgeons
At South Florida Institute of Oral Surgery, your wisdom teeth extractions in Coral Springs & Pompano Beach are performed by board-certified experts. Dr. Mikhail Daya, DMD, and Dr. Dasha Donado, DMD, MS, bring extensive training in oral and maxillofacial surgery, including IV sedation, corrective jaw procedures, and complex extractions. Our dedication to patient-centered care ensures safe, precise, and comfortable treatments every time.
Signs You May Need Wisdom Teeth Removal
- Pain or discomfort in the back of the mouth
- Swelling or redness around the gums
- Crowding or shifting of nearby teeth
- Difficulty opening your mouth or chewing
We evaluate each patient carefully to determine the need for extraction. Our goal is to prevent complications and maintain your long-term oral health. Trust our dental professionals for safe and effective wisdom teeth extractions in Coral Springs & Pompano Beach.
Our Wisdom Teeth Extraction Procedure
Our oral surgeons follow a carefully planned procedure to ensure safety and comfort. Each step is designed to minimize discomfort and promote quick recovery.
- Initial Examination and Imaging: We perform a thorough oral exam and use advanced imaging, like Cone Beam 3D scans, to assess tooth position and plan the extraction.
- Anesthesia and Sedation: Patients receive local anesthesia or sedation tailored to their comfort level, ensuring a pain-free experience throughout the procedure.
- Extraction Process: Using precise surgical techniques, we gently remove fully erupted, partially impacted, or fully impacted wisdom teeth while protecting surrounding tissues.
- Post-Operative Care Instructions: We provide detailed guidance on managing swelling, pain, and oral hygiene to promote smooth and speedy recovery.
Trust our experienced team for gentle and precise wisdom teeth extractions in Pompano Beach & Coral Springs, ensuring a smooth recovery.
Advanced Technology for Safe Extractions
At South Florida Institute of Oral Surgery, we use the latest dental technology to ensure safe and precise wisdom teeth removal. Our advanced tools, including digital X-rays and Cone Beam 3D imaging, allow our oral surgeons to evaluate tooth position, root structure, and surrounding bone with exceptional accuracy. This technology helps us minimize discomfort and reduce recovery time for patients undergoing wisdom teeth extractions in Coral Springs & Pompano Beach. By combining innovation with quality care, we provide a stress-free experience and promote optimal oral health for every patient.

Post-Extraction Care & Recovery
Proper care after your wisdom teeth removal is essential for a smooth recovery. Following your surgeon’s instructions helps minimize discomfort and prevent complications.
- Rest and avoid strenuous activity for the first 24–48 hours
- Apply ice packs to reduce swelling and inflammation
- Follow prescribed pain management and oral hygiene instructions
- Eat soft foods and stay hydrated to support healing
We guide every patient through recovery to ensure comfort and safety. Experience stress-free wisdom teeth extractions in Pompano Beach & Coral Springs with our gentle care.
Sedation & Pain Management Options
At South Florida Institute of Oral Surgery, your comfort is our top priority during wisdom teeth removal. We offer a range of sedation and pain management options tailored to each patient’s needs. Nitrous Oxide (Laughing Gas) helps reduce anxiety while keeping you awake and relaxed. Oral Sedation provides a mild calming effect for a stress-free experience. Our personalized approach ensures advanced wisdom teeth and impacted canine extractions, promoting a smooth and relaxed experience.
Why Choose SFIOS For Wisdom Teeth Extractions In Pompano Beach & Coral Springs
At South Florida Institute of Oral Surgery, we are committed to providing exceptional care for every patient. Our experienced team combines advanced technology with a patient-centred approach to ensure safe and comfortable procedures.
- Board-Certified Oral Surgeons: Our skilled surgeons have extensive training and experience in performing precise wisdom teeth extractions with minimal discomfort.
- Advanced Technology: We use state-of-the-art imaging and surgical tools to plan and execute each extraction accurately, promoting faster recovery.
- Personalized Patient Care: Every treatment plan is customized to meet the unique needs and comfort preferences of our patients.
Choose us for personalized care you can trust. Arrange your consultation today for reliable wisdom teeth extractions. We’ll help you achieve optimal oral health and a comfortable, pain-free experience.

Schedule Your Wisdom Teeth Extraction Today
At South Florida Institute of Oral Surgery, we make it easy to get the professional care you need for a healthy smile. Our board-certified oral surgeons provide safe, precise, and comfortable wisdom teeth extractions in Coral Springs & Pompano Beach. Whether you’re experiencing discomfort or planning preventive treatment, our team is here to guide you. Book your consultation today and take the first step toward a pain-free, confident smile.
Frequently Asked Questions
Why do I need my wisdom teeth removed?
Wisdom teeth often don’t have enough space to grow properly. When they become impacted or misaligned, they can cause pain, infections, damage to nearby teeth, cysts, or crowding. Removing them early helps prevent long-term complications and protects your overall oral health.Â
Is wisdom teeth removal painful?
During the procedure, you won’t feel pain because local anesthesia, IV sedation, or general anesthesia keeps you comfortable. Some soreness or swelling afterward is normal, but it’s manageable with prescribed medications and post-operative care.
How long does it take to recover from wisdom teeth removal?
Most patients feel significantly better within 3–5 days. Full healing takes a couple of weeks, but you can typically resume normal daily activities the next day. Swelling peaks around day 2–3 and then improves quickly.
What should I expect during the procedure?
Your surgeon will numb the area or provide sedation, make a small incision if needed, remove the tooth safely, and clean the site before closing it. The procedure is efficient, precise, and usually completed in under an hour for most patients.
Can I eat normally after having my wisdom teeth removed?
Cost depends on the complexity of the extraction and anesthesia used. We provide a detailed estimate during your consultation. Patients can discuss payment options with South Florida Institute of Oral Surgery.
What are your office hours for wisdom teeth extractions in Pompano Beach & Coral Springs, FL?
Our office is open Monday to Thursday from 8:00 AM to 5:00 PM. Fridays are 8:00 AM to 12:00 PM, and we are closed on weekends. Schedule your consultation for wisdom teeth extractions during these hours.
5-Star Reviews from Coral Springs &
Pompano Beach Patients
EXCELLENT Based on 154 reviews Posted on Jay McDonnellTrustindex verifies that the original source of the review is Google. A Truly Exceptional Dental Experience! From the moment I walked through the door, I was greeted by a warm and welcoming front staff. Despite the fast pace of the office, they took the time to answer every question with patience and kindness, all while being incredibly personable. I immediately knew this wasn't your average dental office. The entire staff was amazing and genuinely fun to interact with. The office itself has a light, friendly, and inviting atmosphere—so different from the typical sterile, clinical vibe most medical offices have. While diplomas and certifications are present (as expected), Dr. Daya has also added personal touches and achievements that make the space feel more human and heartfelt. It's clear that this office was design be both professional and approachable. Dr. Daya and his team go beyond just providing dental care-they make you feel like you're being looked after by real people who truly care. A special shoutout to Stacey Y., who was with me before and during appointments, ensuring I was completely comfortable and taken care of every step of the way. Her attentiveness made all the difference. If l ever need dental care again, this will be my first choice-without a doubt. Well done, SFIOS of Pompano! Cheers, JMPosted on Chris GeeTrustindex verifies that the original source of the review is Google. I was nervous and almost changed my mind. Doctor Dosha, Yanick and Stacy did great by me very appreciative. Surgery went well great experiencePosted on Lisa SmithTrustindex verifies that the original source of the review is Google. From making the appointment to having the procedure everyone was kind, patient and proficient.Posted on Morris CastanedaTrustindex verifies that the original source of the review is Google. It was a last minute emergency. Broken wisdom tooth. The staff at South Florida Institute of Oral Surgery was so friendly and accommodating. Plus they helped me with my fear of the dentist. Thank you so much for helping me through such a difficult situationPosted on Briana PrinceTrustindex verifies that the original source of the review is Google. The South Florida Institute of Oral Surgery does great work and provides an excellent experience. Lina was very kind and welcoming, with a beautiful smile that made the visit even more pleasant. Abby was incredibly informative and took the time to explain the treatment plan in detail. Highly recommend this service to everyone!Posted on Nathan CasielloTrustindex verifies that the original source of the review is Google. Never fun getting teeth pulled but Dr Donado and the team here made it as painless as possible. Surgery went smooth. They did everything possible to make my out of pocket price reasonable. I’ve got some weird side effect to meds I’m taking that causes dead bone shrapnel to grow through gums and poke my (don’t recommend) and the team saw me free of charge a couple extra times to shave this bone down and bring relief to tongue. Will continue any necessary work at SFOIS.Posted on Nathan CarlsonTrustindex verifies that the original source of the review is Google. Got my wisdom teeth removed here, it was my first time having surgery. Had an amazing amazing experience and was helped by three wonderful ladies: Dr. Donald, Stacey, and Yanick. 5/5 Super impressed with their work and kindness highly recommend!Posted on Kiara IrizarryTrustindex verifies that the original source of the review is Google. Dr. Donado and her team deserve all the five stars they can get and more!! They are not only personable and clearly know what they’re doing, but have excellent communication and will explain everything thoroughly so you understand, and will truly take care of you and your needs as well as ensure you are feeling comfortable during your oral surgery. I went in nervous for a wisdom tooth extraction with local anesthesia and to my surprise, didn’t even feel a thing. I had another 2 wisdom teeth extracted at a different dentist previously and the experience was not very pleasant, so I was grateful for this positive experience. Thank you for everything, Dr. Donado! The front desk staff are friendly and professional and deserve to be praised as well. Finally, I would also like to note cleanliness was spot on in both the waiting area and treatment areas. Highly recommend this location!Posted on Iain SandyTrustindex verifies that the original source of the review is Google. Oral surgery is not fun. The folks at SFIOS recognize that and do everything to reduce the stress. Everyone at the office is pleasant, engaging and competent. Dr. Donado is quite proficient and kept me fully informed as she proceeded. Follow up check-in phone calls were comforting. I fully recommend them.Posted on Cathy JeanetteTrustindex verifies that the original source of the review is Google. Dr Donado is the best. She kept me informed and helped me through every question, hesitation that I had and have..She is the best!

