Comprehensive Care for Impacted Canines
The canine teeth—often called the “eye teeth”—are essential for both function and aesthetics. They guide the bite and support the upper lip. Sometimes, these teeth fail to erupt properly and become impacted, meaning they’re stuck in the bone or gum tissue.
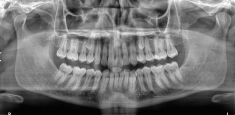
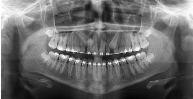
At South Florida Institute of Oral Surgery, our experienced oral surgeons provide precise evaluation and treatment for impacted canines in Pompano Beach & Coral Springs. Using advanced imaging technology, such as Cone Beam 3D scans, we create personalized treatment plans to safely expose, align, or remove impacted canines. Our goal is to restore proper function, prevent complications, and help patients achieve a healthy, confident smile.

Meet Our Board-Certified Oral Surgeons
At South Florida Institute of Oral Surgery, impacted canines are treated by experienced oral surgeons using the latest surgical technology. Dr. Daya and Dr. Donado combine years of specialized training with precise techniques, delivering reliable, safe, and effective results for patients in Coral Springs & Pompano Beach.
Why Does This Happen?
Impacted canines can occur for several reasons, often related to jaw development and tooth positioning. Early evaluation helps identify potential issues before complications arise.
- Impacted canines may result from:
- Lack of space in the dental arch
- Overcrowding or misalignment
- Extra teeth (supernumerary) blocking eruption
- Genetic factors or family history.
At South Florida Institute of Oral Surgery, we carefully assess each patient to determine the cause of impacted teeth. Our team provides advanced solutions for impacted canines in Coral Springs & Pompano Beach, ensuring proper alignment and oral health. With advanced techniques and personalized care, we help patients achieve a healthy, functional, and confident smile.


Why Treatment Matters
Leaving an impacted canine untreated can cause serious oral health issues. Early intervention helps prevent complications and preserves proper dental function.
- Leaving an impacted canine untreated can lead to:
- Misaligned bite
- Damage to nearby teeth or roots
- Cysts or infections
- Compromised aesthetics and function
Proper care for impacted canines helps maintain alignment and prevent dental issues. Patients can rely on safe, precise treatment for impacted canines in Pompano Beach & Coral Springs.
Advanced Technology for Precise Treatment
At South Florida Institute of Oral Surgery, we utilize cutting-edge technology to ensure accurate and efficient treatment for impacted canines. Our digital imaging systems, including 3D Cone Beam scans, provide detailed views of tooth position, bone structure, and surrounding tissues. This allows our surgeons to plan procedures with precision and minimize risks. With advanced tools and minimally invasive techniques, patients experience safer, faster treatment. Our approach ensures optimal results for impacted canines in Coral Springs & Pompano Beach, restoring proper alignment and promoting long-term oral health.
How We Treat Impacted Canines
Treatment depends on age, position, and severity. The most common approach involves surgical exposure of the tooth, often followed by orthodontic guidance to help it erupt into its proper position.
We use 3D imaging to locate the tooth precisely and work closely with your orthodontist to coordinate care. The procedure is usually done under sedation to ensure a smooth experience.
We use advanced 3D imaging technology to locate the tooth precisely and carefully plan the procedure. This ensures minimal disruption to surrounding teeth and bone, allowing for safer and more predictable outcomes. Our oral surgeons work closely with your orthodontist to coordinate care and monitor progress throughout the treatment. Procedures are typically performed under sedation or local anesthesia to provide a comfortable and stress-free experience.
Early intervention can prevent complications such as misalignment, bite issues, or damage to neighboring teeth. We offer comprehensive solutions for impacted canines in Pompano Beach & Coral Springs, focusing on safe, effective treatment that restores proper function and helps patients achieve a healthy, attractive smile.
Recovery Timeline for Impacted Canines
Recovery after impacted canine treatment is generally smooth when post-operative instructions are followed. Proper care ensures minimal discomfort and optimal healing.
Day of Surgery:
Sedated procedure lasting under an hour. Most patients feel groggy afterward and should rest while following post-sedation guidelines.
First Week:
Mild swelling or discomfort, easily managed with medication. Soft foods and gentle oral hygiene help promote faster healing.
Follow-Up:
Coordination with your orthodontist to assist in guided eruption. Regular check-ups ensure the tooth moves correctly and prevent complications.
Why Choose SFIOS For Impacted Canines Removal In Pompano Beach & Coral Springs
At South Florida Institute of Oral Surgery (SFIOS), we prioritize patient comfort, safety, and long-term dental health. Our experienced team combines advanced technology with personalized care for the top results.
- Board-Certified Oral Surgeons: Our surgeons are highly trained and experienced in managing complex impacted canine cases. They ensure every procedure is precise, safe, and tailored to each patient’s needs.
- Advanced Diagnostic Tools: Using 3D Cone Beam imaging and digital planning, we accurately locate impacted canines for effective treatment with minimal disruption to surrounding teeth.
- Patient-Centered Approach: We focus on your comfort, providing sedation options and clear instructions to make the procedure stress-free and easy to follow.
- Collaborative Care: We coordinate closely with orthodontists and dental specialists to ensure seamless treatment planning and optimal outcomes.
Choosing high-quality care for impacted canines in Pompano Beach & Coral Springs ensures safe treatment, proper alignment, and a healthy, confident smile. Our team is committed to delivering gentle, personalized solutions for every patient’s unique needs.
Get Quality Care for Impacted Canines Now
Don’t wait to address impacted canines and protect your oral health. Our experienced team provides personalized, gentle care to ensure safe and effective treatment. We use advanced technology and collaborate with orthodontists to achieve optimal results. In some cases, additional procedures like bone grafting may be recommended to support proper alignment and long-term dental health. Take the first step toward a healthy, confident smile, schedule your consultation today and experience professional care for impacted canines in Pompano Beach & Coral Springs.

Frequently Asked Questions
How are impacted canines treated in Coral Springs & Pompano Beach, FL?
Treatment depends on age, tooth position, and severity. Options include surgical exposure, guided eruption with orthodontics, or extraction if necessary. Personalized care ensures safe and effective results.
Why choose a local dentist for impacted canines in Coral Springs & Pompano Beach, FL?
Local care at South Florida Institute of Oral Surgery ensures timely, personalized treatment using advanced technology. Our team is familiar with regional patient needs and dental challenges. Treatment for impacted canines provides safe, effective results and lasting oral health.
What sedation options are available in Coral Springs & Pompano Beach, FL?
Nitrous oxide, oral sedation, and IV sedation are offered for patient comfort. Sedation ensures a stress-free procedure, especially for anxious patients. The right option is chosen based on individual needs.
How is imaging used to treat impacted canines in Coral Springs & Pompano Beach, FL?
Advanced 3D Cone Beam imaging provides precise views of tooth position, surrounding bone, and tissues. This helps in planning minimally invasive treatment. It ensures safer and more predictable outcomes.
What are your office hours for impacted canine treatment in Coral Springs & Pompano Beach, FL?
Our office is open Monday to Thursday, 8 AM–5 PM, and Friday 8 AM–12 PM. We are closed on weekends. Scheduling appointments in advance is recommended for impacted canine care.
5-Star Reviews from Coral Springs &
Pompano Beach Patients
EXCELLENT Based on 154 reviews Posted on Jay McDonnellTrustindex verifies that the original source of the review is Google. A Truly Exceptional Dental Experience! From the moment I walked through the door, I was greeted by a warm and welcoming front staff. Despite the fast pace of the office, they took the time to answer every question with patience and kindness, all while being incredibly personable. I immediately knew this wasn't your average dental office. The entire staff was amazing and genuinely fun to interact with. The office itself has a light, friendly, and inviting atmosphere—so different from the typical sterile, clinical vibe most medical offices have. While diplomas and certifications are present (as expected), Dr. Daya has also added personal touches and achievements that make the space feel more human and heartfelt. It's clear that this office was design be both professional and approachable. Dr. Daya and his team go beyond just providing dental care-they make you feel like you're being looked after by real people who truly care. A special shoutout to Stacey Y., who was with me before and during appointments, ensuring I was completely comfortable and taken care of every step of the way. Her attentiveness made all the difference. If l ever need dental care again, this will be my first choice-without a doubt. Well done, SFIOS of Pompano! Cheers, JMPosted on Chris GeeTrustindex verifies that the original source of the review is Google. I was nervous and almost changed my mind. Doctor Dosha, Yanick and Stacy did great by me very appreciative. Surgery went well great experiencePosted on Lisa SmithTrustindex verifies that the original source of the review is Google. From making the appointment to having the procedure everyone was kind, patient and proficient.Posted on Morris CastanedaTrustindex verifies that the original source of the review is Google. It was a last minute emergency. Broken wisdom tooth. The staff at South Florida Institute of Oral Surgery was so friendly and accommodating. Plus they helped me with my fear of the dentist. Thank you so much for helping me through such a difficult situationPosted on Briana PrinceTrustindex verifies that the original source of the review is Google. The South Florida Institute of Oral Surgery does great work and provides an excellent experience. Lina was very kind and welcoming, with a beautiful smile that made the visit even more pleasant. Abby was incredibly informative and took the time to explain the treatment plan in detail. Highly recommend this service to everyone!Posted on Nathan CasielloTrustindex verifies that the original source of the review is Google. Never fun getting teeth pulled but Dr Donado and the team here made it as painless as possible. Surgery went smooth. They did everything possible to make my out of pocket price reasonable. I’ve got some weird side effect to meds I’m taking that causes dead bone shrapnel to grow through gums and poke my (don’t recommend) and the team saw me free of charge a couple extra times to shave this bone down and bring relief to tongue. Will continue any necessary work at SFOIS.Posted on Nathan CarlsonTrustindex verifies that the original source of the review is Google. Got my wisdom teeth removed here, it was my first time having surgery. Had an amazing amazing experience and was helped by three wonderful ladies: Dr. Donald, Stacey, and Yanick. 5/5 Super impressed with their work and kindness highly recommend!Posted on Kiara IrizarryTrustindex verifies that the original source of the review is Google. Dr. Donado and her team deserve all the five stars they can get and more!! They are not only personable and clearly know what they’re doing, but have excellent communication and will explain everything thoroughly so you understand, and will truly take care of you and your needs as well as ensure you are feeling comfortable during your oral surgery. I went in nervous for a wisdom tooth extraction with local anesthesia and to my surprise, didn’t even feel a thing. I had another 2 wisdom teeth extracted at a different dentist previously and the experience was not very pleasant, so I was grateful for this positive experience. Thank you for everything, Dr. Donado! The front desk staff are friendly and professional and deserve to be praised as well. Finally, I would also like to note cleanliness was spot on in both the waiting area and treatment areas. Highly recommend this location!Posted on Iain SandyTrustindex verifies that the original source of the review is Google. Oral surgery is not fun. The folks at SFIOS recognize that and do everything to reduce the stress. Everyone at the office is pleasant, engaging and competent. Dr. Donado is quite proficient and kept me fully informed as she proceeded. Follow up check-in phone calls were comforting. I fully recommend them.Posted on Cathy JeanetteTrustindex verifies that the original source of the review is Google. Dr Donado is the best. She kept me informed and helped me through every question, hesitation that I had and have..She is the best!


